Description
| Antibody Name: | Anti-UQCRFS1 Antibody |
| Antibody SKU: | CAB6784 |
| Antibody Size: | 20uL, 50uL, 100uL |
| Application: | WB IHC IF |
| Reactivity: | Human, Mouse, Rat |
| Host Species: | Rabbit |
| Immunogen: | Recombinant fusion protein containing a sequence corresponding to amino acids 79-274 of human UQCRFS1 (NP_005994.2). |
| Application: | WB IHC IF |
| Recommended Dilution: | WB 1:500 - 1:2000 IHC 1:50 - 1:200 IF 1:10 - 1:100 |
| Reactivity: | Human, Mouse, Rat |
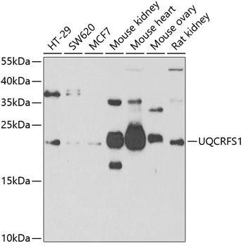
| Positive Samples: | HT-29, SW620, MCF7, Mouse kidney, Mouse heart, Mouse ovary, Rat kidney |
| Immunogen: | Recombinant fusion protein containing a sequence corresponding to amino acids 79-274 of human UQCRFS1 (NP_005994.2). |
| Purification Method: | Affinity purification |
| Storage Buffer: | Store at -20'C. Avoid freeze / thaw cycles. Buffer: PBS with 0.02% sodium azide, 50% glycerol, pH7.3. |
| Isotype: | IgG |
| Sequence: | SHTD IKVP DFSE YRRL EVLD STKS SRES SEAR KGFS YLVT GVTT VGVA YAAK NAVT QFVS SMSA SADV LALA KIEI KLSD IPEG KNMA FKWR GKPL FVRH RTQK EIEQ EAAV ELSQ LRDP QHDL DRVK KPEW VILI GVCT HLGC VPIA NAGD FGGY YCPC HGSH YDAS GRIR LGPA PLNL EVPT YEFT SDDM VIVG |
| Gene ID: | 7386 |
| Uniprot: | P47985 |
| Cellular Location: | Mitochondrion inner membrane, Single-pass membrane protein |
| Calculated MW: | 29kDa |
| Observed MW: | 24kDa |
| Synonyms: | UQCRFS1, RIP1, RIS1, RISP, UQCR5 |
| Background: |
| UniProt Protein Function: | UQCRFS1: Component of the ubiquinol-cytochrome c reductase complex (complex III or cytochrome b-c1 complex), which is a respiratory chain that generates an electrochemical potential coupled to ATP synthesis. |
| UniProt Protein Details: | Protein type:EC 1.10.2.2; Mitochondrial; Energy Metabolism - oxidative phosphorylation; Oxidoreductase Chromosomal Location of Human Ortholog: 19q12 Cellular Component: mitochondrion; mitochondrial inner membrane; mitochondrial respiratory chain complex III Molecular Function:2 iron, 2 sulfur cluster binding; metal ion binding; ubiquinol-cytochrome-c reductase activity; protein complex binding Biological Process: response to drug; response to antibiotic; cellular metabolic process; response to hormone stimulus |
| UniProt Code: | P47985 |
| NCBI GenInfo Identifier: | 143811471 |
| NCBI Gene ID: | 7386 |
| NCBI Accession: | P47985.2 |
| UniProt Secondary Accession: | P47985,Q6NVX5, Q9UPH2, A8K519, |
| UniProt Related Accession: | P47985 |
| Molecular Weight: | 29,668 Da |
| NCBI Full Name: | Cytochrome b-c1 complex subunit Rieske, mitochondrial |
| NCBI Synonym Full Names: | ubiquinol-cytochrome c reductase, Rieske iron-sulfur polypeptide 1 |
| NCBI Official Symbol: | UQCRFS1 |
| NCBI Official Synonym Symbols: | RIP1; RIS1; RISP; UQCR5 |
| NCBI Protein Information: | cytochrome b-c1 complex subunit Rieske, mitochondrial; complex III subunit 5; Rieske iron-sulfur protein; cytochrome b-c1 complex subunit 5; ubiquinol-cytochrome c reductase iron-sulfur subunit |
| UniProt Protein Name: | Cytochrome b-c1 complex subunit Rieske, mitochondrial |
| UniProt Synonym Protein Names: | Complex III subunit 5; Cytochrome b-c1 complex subunit 5; Rieske iron-sulfur protein; RISP; Ubiquinol-cytochrome c reductase iron-sulfur subunitCleaved into the following chain:Cytochrome b-c1 complex subunit 11Alternative name(s):Complex III subunit IX; Ubiquinol-cytochrome c reductase 8 kDa protein |
| Protein Family: | Cytochrome b-c1 complex |
| UniProt Gene Name: | UQCRFS1 |
| UniProt Entry Name: | UCRI_HUMAN |
View AllClose
Additional Information
Product Type: |
Antibody |
Reactivity: |
Human |
Reactivity: |
Mouse |
Reactivity: |
Rat |
Host Species: |
Rabbit |
Isotype: |
IgG |
Antibody Type: |
Polyclonal Antibody |
Research Area: |
Cell Biology |


