Frequently bought together:
Description
| Antibody Name: | Anti-SMU1 Antibody |
| Antibody SKU: | CAB9110 |
| Antibody Size: | 20uL, 50uL, 100uL |
| Application: | WB |
| Reactivity: | Human, Mouse, Rat |
| Host Species: | Rabbit |
| Immunogen: | Recombinant fusion protein containing a sequence corresponding to amino acids 1-220 of human SMU1 (NP_060695.2). |
| Application: | WB |
| Recommended Dilution: | WB 1:200 - 1:2000 |
| Reactivity: | Human, Mouse, Rat |
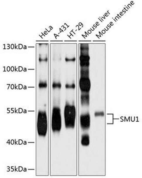
| Positive Samples: | HeLa, A-431, HT-29, Mouse liver, Mouse intestine |
| Immunogen: | Recombinant fusion protein containing a sequence corresponding to amino acids 1-220 of human SMU1 (NP_060695.2). |
| Purification Method: | Affinity purification |
| Storage Buffer: | Store at -20'C. Avoid freeze / thaw cycles. Buffer: PBS with 0.02% sodium azide, 50% glycerol, pH7.3. |
| Isotype: | IgG |
| Sequence: | MSIE IESS DVIR LIMQ YLKE NSLH RALA TLQE ETTV SLNT VDSI ESFV ADIN SGHW DTVL QAIQ SLKL PDKT LIDL YEQV VLEL IELR ELGA ARSL LRQT DPMI MLKQ TQPE RYIH LENL LARS YFDP REAY PDGS SKEK RRAA IAQA LAGE VSVV PPSR LMAL LGQA LKWQ QHQG LLPP GMTI DLFR GKAA VKDV EEEK FPTQ LSRH IKFG QKSH VECA |
| Gene ID: | 55234 |
| Uniprot: | Q2TAY7 |
| Cellular Location: | Cytoplasm, Nucleus |
| Calculated MW: | 39kDa/57kDa |
| Observed MW: | 50kDa |
| Synonyms: | SMU1, BWD, SMU-1, fSAP57 |
| Background: |
| UniProt Code: | Q2TAY7 |
| NCBI GenInfo Identifier: | 109948304 |
| NCBI Gene ID: | 55234 |
| NCBI Accession: | NP_060695 |
| UniProt Related Accession: | Q2TAY7 |
| Molecular Weight: | 56kDa |
| NCBI Full Name: | WD40 repeat-containing protein SMU1 |
| NCBI Synonym Full Names: | SMU1 DNA replication regulator and spliceosomal factor |
| NCBI Official Symbol: | SMU1 |
| NCBI Official Synonym Symbols: | BWD; SMU-1; fSAP57 |
| NCBI Protein Information: | WD40 repeat-containing protein SMU1 |
| UniProt Protein Name: | WD40 repeat-containing protein SMU1 |
| UniProt Synonym Protein Names: | Smu-1 suppressor of mec-8 and unc-52 protein homologCleaved into the following chain:WD40 repeat-containing protein SMU1, N-terminally processed |
| Protein Family: | Serine/threonine-protein kinase |
| UniProt Gene Name: | SMU1 |
| UniProt Entry Name: | SMU1_HUMAN |
View AllClose
Additional Information
Product Type: |
Antibody |
Applications: |
WB |
Reactivity: |
Human |
Reactivity: |
Mouse |
Reactivity: |
Rat |
Host Species: |
Rabbit |
Isotype: |
IgG |
Research Area: |
Immunology |
