Frequently bought together:
Description
| Antibody Name: | Anti-SCCPDH Antibody |
| Antibody SKU: | CAB2148 |
| Antibody Size: | 20uL, 50uL, 100uL |
| Application: | WB |
| Reactivity: | Human, Mouse |
| Host Species: | Rabbit |
| Immunogen: | Recombinant fusion protein containing a sequence corresponding to amino acids 1-270 of human SCCPDH (NP_057086.2). |
| Application: | WB |
| Recommended Dilution: | WB 1:500 - 1:2000 |
| Reactivity: | Human, Mouse |
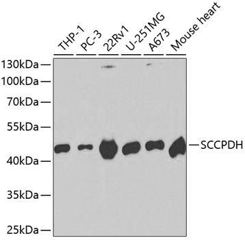
| Positive Samples: | THP-1, PC-3, 22Rv1, U-251MG, A673, Mouse heart |
| Immunogen: | Recombinant fusion protein containing a sequence corresponding to amino acids 1-270 of human SCCPDH (NP_057086.2). |
| Purification Method: | Affinity purification |
| Storage Buffer: | Store at -20'C. Avoid freeze / thaw cycles. Buffer: PBS with 0.02% sodium azide, 50% glycerol, pH7.3. |
| Isotype: | IgG |
| Sequence: | MATE QRPF HLVV FGAS GFTG QFVT EEVA REQV DPER SSRL PWAV AGRS REKL QRVL EKAA LKLG RPTL SSEV GIII CDIA NPAS LDEM AKQA TVVL NCVG PYRF YGEP VIKA CIEN GASC IDIS GEPQ FLEL MQLK YHEK AADK GVYI IGSS GFDS IPAD LGVI YTRN KMNG TLTA VESF LTIH SGPE GLSI HDGT WKSA IYGF GDQS NLRK LRNV SNLK PVPL IGPK LKRR WPIS YCRE LKGY SIPF MGSD VSVV RRTQ RYLY ENLE ES |
| Gene ID: | 51097 |
| Uniprot: | Q8NBX0 |
| Cellular Location: | |
| Calculated MW: | 47kDa |
| Observed MW: | 45kDa |
| Synonyms: | SCCPDH, CGI-49, NET11 |
| Background: |
| UniProt Protein Function: | SCCPDH: Belongs to the saccharopine dehydrogenase family. |
| UniProt Protein Details: | Protein type:EC 1.-.-.-; EC 1.5.1.9; Oxidoreductase Chromosomal Location of Human Ortholog: 1q44 Cellular Component: mitochondrion; membrane; lipid particle; midbody; nucleus Molecular Function:oxidoreductase activity |
| UniProt Code: | Q8NBX0 |
| NCBI GenInfo Identifier: | 73919294 |
| NCBI Gene ID: | 51097 |
| NCBI Accession: | Q8NBX0.1 |
| UniProt Secondary Accession: | Q8NBX0,Q8TAR0, Q9Y363, |
| UniProt Related Accession: | Q8NBX0 |
| Molecular Weight: | 429 |
| NCBI Full Name: | Saccharopine dehydrogenase-like oxidoreductase |
| NCBI Synonym Full Names: | saccharopine dehydrogenase (putative) |
| NCBI Official Symbol: | SCCPDH |
| NCBI Official Synonym Symbols: | NET11; CGI-49 |
| NCBI Protein Information: | saccharopine dehydrogenase-like oxidoreductase; probable saccharopine dehydrogenase |
| UniProt Protein Name: | Saccharopine dehydrogenase-like oxidoreductase |
| Protein Family: | Saccharopine dehydrogenase |
| UniProt Gene Name: | SCCPDH |
| UniProt Entry Name: | SCPDL_HUMAN |
View AllClose
Additional Information
Product Type: |
Antibody |
Reactivity: |
Human |
Reactivity: |
Mouse |
Host Species: |
Rabbit |
Isotype: |
IgG |
Research Area: |
Cell Biology |
