Frequently bought together:
Description
| Antibody Name: | Anti-RPS10 Antibody |
| Antibody SKU: | CAB5880 |
| Antibody Size: | 20uL, 50uL, 100uL |
| Application: | WB IHC IF IP |
| Reactivity: | Human, Mouse, Rat |
| Host Species: | Rabbit |
| Immunogen: | Recombinant fusion protein containing a sequence corresponding to amino acids 1-165 of human RPS10 (NP_001190174.1). |
| Application: | WB IHC IF IP |
| Recommended Dilution: | WB 1:500 - 1:2000 IHC 1:50 - 1:200 IF 1:20 - 1:50 IP 1:20 - 1:50 |
| Reactivity: | Human, Mouse, Rat |
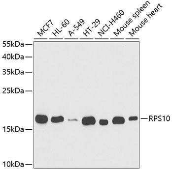
| Positive Samples: | MCF7, HL-60, A-549, HT-29, NCI-H460, Mouse spleen, Mouse heart, Mouse liver, Rat liver |
| Immunogen: | Recombinant fusion protein containing a sequence corresponding to amino acids 1-165 of human RPS10 (NP_001190174.1). |
| Purification Method: | Affinity purification |
| Storage Buffer: | Store at -20'C. Avoid freeze / thaw cycles. Buffer: PBS with 0.02% sodium azide, 50% glycerol, pH7.3. |
| Isotype: | IgG |
| Sequence: | MLMP KKNR IAIY ELLF KEGV MVAK KDVH MPKH PELA DKNV PNLH VMKA MQSL KSRG YVKE QFAW RHFY WYLT NEGI QYLR DYLH LPPE IVPA TLRR SRPE TGRP RPKG LEGE RPAR LTRG EADR DTYR RSAV PPGA DKKA EAGA GSAT EFQF RGGF GRGR GQPP Q |
| Gene ID: | 6204 |
| Uniprot: | P46783 |
| Cellular Location: | Cytoplasm, Nucleus, nucleolus |
| Calculated MW: | 18kDa |
| Observed MW: | 19kDa |
| Synonyms: | RPS10, DBA9, S10, RPS10 |
| Background: | Ribosomes, the organelles that catalyze protein synthesis, consist of a small 40S subunit and a large 60S subunit. Together these subunits are composed of 4 RNA species and approximately 80 structurally distinct proteins. This gene encodes a ribosomal protein that is a component of the 40S subunit. The protein belongs to the S10E family of ribosomal proteins. It is located in the cytoplasm. Variable expression of this gene in colorectal cancers compared to adjacent normal tissues has been observed, although no correlation between the level of expression and the severity of the disease has been found. As is typical for genes encoding ribosomal proteins, there are multiple processed pseudogenes of this gene dispersed through the genome. Alternate splicing results in multiple transcript variants that encode the same protein. Naturally occurring read-through transcription occurs between this locus and the neighboring locus NUDT3 (nudix (nucleoside diphosphate linked moiety X)-type motif 3). |
| UniProt Protein Function: | RPS10: a ribosomal protein of the S10E family. Located in the cytoplasm and nucleus. Ribosomes, the organelles that catalyze protein synthesis, consist of a small 40S subunit and a large 60S subunit. Together these subunits are composed of 4 RNA species and approximately 80 structurally distinct proteins. This protein is a component of the 40S subunit. |
| UniProt Protein Details: | Protein type:Nucleolus; Ribosomal; Translation; RNA-binding Chromosomal Location of Human Ortholog: 6p21.31 Cellular Component: focal adhesion; membrane; cytoplasm; nucleolus; ribosome; cytosol Molecular Function:protein binding Biological Process: SRP-dependent cotranslational protein targeting to membrane; cellular protein metabolic process; translational elongation; viral reproduction; translation; translational initiation; mRNA catabolic process, nonsense-mediated decay; gene expression; viral transcription; viral infectious cycle; translational termination Disease: Diamond-blackfan Anemia 9 |
| NCBI Summary: | Ribosomes, the organelles that catalyze protein synthesis, consist of a small 40S subunit and a large 60S subunit. Together these subunits are composed of 4 RNA species and approximately 80 structurally distinct proteins. This gene encodes a ribosomal protein that is a component of the 40S subunit. The protein belongs to the S10E family of ribosomal proteins. It is located in the cytoplasm. Variable expression of this gene in colorectal cancers compared to adjacent normal tissues has been observed, although no correlation between the level of expression and the severity of the disease has been found. As is typical for genes encoding ribosomal proteins, there are multiple processed pseudogenes of this gene dispersed through the genome. Alternate splicing results in multiple transcript variants that encode the same protein. Naturally occurring read-through transcription occurs between this locus and the neighboring locus NUDT3 (nudix (nucleoside diphosphate linked moiety X)-type motif 3).[provided by RefSeq, Feb 2011] |
| UniProt Code: | P46783 |
| NCBI GenInfo Identifier: | 1173177 |
| NCBI Gene ID: | 6204 |
| NCBI Accession: | P46783.1 |
| UniProt Secondary Accession: | P46783,Q5TZC0, B2R4E3, |
| UniProt Related Accession: | P46783 |
| Molecular Weight: | 165 |
| NCBI Full Name: | 40S ribosomal protein S10 |
| NCBI Synonym Full Names: | ribosomal protein S10 |
| NCBI Official Symbol: | RPS10 |
| NCBI Official Synonym Symbols: | S10; DBA9 |
| NCBI Protein Information: | 40S ribosomal protein S10 |
| UniProt Protein Name: | 40S ribosomal protein S10 |
| Protein Family: | Ribosomal protein |
| UniProt Gene Name: | RPS10 |
| UniProt Entry Name: | RS10_HUMAN |
View AllClose
Additional Information
Product Type: |
Antibody |
Reactivity: |
Human |
Reactivity: |
Mouse |
Reactivity: |
Rat |
Host Species: |
Rabbit |
Isotype: |
IgG |
Antibody Type: |
Polyclonal Antibody |
Research Area: |
Cell Biology |




