Frequently bought together:
Description
| Antibody Name: | Anti-OPCML Antibody |
| Antibody SKU: | CAB2778 |
| Antibody Size: | 20uL, 50uL, 100uL |
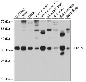
| Application: | WB |
| Reactivity: | Human, Mouse, Rat |
| Host Species: | Rabbit |
| Immunogen: | Recombinant fusion protein containing a sequence corresponding to amino acids 246-345 of human OPCML (NP_002536.1). |
| Application: | WB |
| Recommended Dilution: | WB 1:1000 - 1:2000 |
| Reactivity: | Human, Mouse, Rat |
| Positive Samples: | U-87MG, 293T, HeLa, Mouse brain, Mouse pancreas, Mouse kidney, Rat brain, Rat pancreas, Rat kidney |
| Immunogen: | Recombinant fusion protein containing a sequence corresponding to amino acids 246-345 of human OPCML (NP_002536.1). |
| Purification Method: | Affinity purification |
| Storage Buffer: | Store at -20'C. Avoid freeze / thaw cycles. Buffer: PBS with 0.02% sodium azide, 50% glycerol, pH7.3. |
| Isotype: | IgG |
| Sequence: | ASAV PMAE FQWF KEET RLAT GLDG MRIE NKGR MSTL TFFN VSEK DYGN YTCV ATNK LGNT NASI TLYG PGAV IDGV NSAS RALA CLWL SGTL LAHF FIKF |
| Gene ID: | 4978 |
| Uniprot: | Q14982 |
| Cellular Location: | Cell membrane, GPI-anchor, Lipid-anchor |
| Calculated MW: | 33kDa/37kDa/38kDa |
| Observed MW: | 38kDa |
| Synonyms: | OPCML, IGLON1, OBCAM, OPCM |
| Background: | This gene encodes a member of the IgLON subfamily in the immunoglobulin protein superfamily of proteins. The encoded preprotein is proteolytically processed to generate the mature protein. This protein is localized in the plasma membrane and may have an accessory role in opioid receptor function. This gene has an ortholog in rat and bovine. The opioid binding-cell adhesion molecule encoded by the rat gene binds opioid alkaloids in the presence of acidic lipids, exhibits selectivity for mu ligands and acts as a GPI-anchored protein. Since the encoded protein is highly conserved in species during evolution, it may have a fundamental role in mammalian systems. Alternative splicing results in multiple transcript variants, at least one of which encodes an isoform that is proteolytically processed. |
| UniProt Protein Function: | OPCML: Binds opioids in the presence of acidic lipids; probably involved in cell contact. Defects in OPCML are a cause of susceptibility to ovarian cancer (OC). Ovarian cancer common malignancy originating from ovarian tissue. Although many histologic types of ovarian neoplasms have been described, epithelial ovarian carcinoma is the most common form. Ovarian cancers are often asymptomatic and the recognized signs and symptoms, even of late- stage disease, are vague. Consequently, most patients are diagnosed with advanced disease. Belongs to the immunoglobulin superfamily. IgLON family. 2 isoforms of the human protein are produced by alternative splicing. |
| UniProt Protein Details: | Protein type:Receptor, misc.; Membrane protein, GPI anchor Chromosomal Location of Human Ortholog: 11q25 Cellular Component: neuron projection; cell surface; cell soma; plasma membrane; intercellular junction Biological Process: cell-cell adhesion; regulation of neurogenesis; neuron recognition; cell adhesion Disease: Ovarian Cancer |
| NCBI Summary: | This gene encodes a member of the IgLON subfamily in the immunoglobulin protein superfamily. The encoded protein is localized in the plasma membrane and may have an accessory role in opioid receptor function. This gene has an ortholog in rat and bovine. The opioid binding-cell adhesion molecule encoded by the rat gene binds opioid alkaloids in the presence of acidic lipids, exhibits selectivity for mu ligands and acts as a GPI-anchored protein. Since the encoded protein is highly conserved in species during evolution, it may have a fundamental role in mammalian systems. Two transcript variants encoding different isoforms have been found for this gene. [provided by RefSeq, Jul 2008] |
| UniProt Code: | Q14982 |
| NCBI GenInfo Identifier: | 2497326 |
| NCBI Gene ID: | 4978 |
| NCBI Accession: | Q14982.1 |
| UniProt Secondary Accession: | Q14982,Q17RN7, Q7Z3W6, B2CZX2, B7ZLQ1, |
| UniProt Related Accession: | Q14982 |
| Molecular Weight: | 345 |
| NCBI Full Name: | Opioid-binding protein/cell adhesion molecule |
| NCBI Synonym Full Names: | opioid binding protein/cell adhesion molecule-like |
| NCBI Official Symbol: | OPCML |
| NCBI Official Synonym Symbols: | OPCM; OBCAM; IGLON1 |
| NCBI Protein Information: | opioid-binding protein/cell adhesion molecule; IgLON family member 1; opioid binding protein/cell adhesion molecule-like preprotein |
| UniProt Protein Name: | Opioid-binding protein/cell adhesion molecule |
| UniProt Synonym Protein Names: | IgLON family member 1 |
| UniProt Gene Name: | OPCML |
| UniProt Entry Name: | OPCM_HUMAN |
View AllClose
Additional Information
Product Type: |
Antibody |
Reactivity: |
Human |
Reactivity: |
Mouse |
Reactivity: |
Rat |
Host Species: |
Rabbit |
Isotype: |
IgG |
Research Area: |
Cell Biology |
