Description
| Antibody Name: | Anti-ACLY Antibody |
| Antibody SKU: | CAB15251 |
| Antibody Size: | 20uL, 50uL, 100uL |
| Application: | WB |
| Reactivity: | Human, Mouse, Rat |
| Host Species: | Rabbit |
| Immunogen: | Recombinant fusion protein containing a sequence corresponding to amino acids 752-1101 of human ACLY (NP_001087.2). |
| Application: | WB |
| Recommended Dilution: | WB 1:200 - 1:2000 |
| Reactivity: | Human, Mouse, Rat |
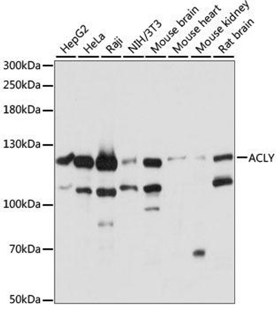
| Positive Samples: | HepG2, HeLa, Raji, NIH/3T3, Mouse brain, Mouse heart, Mouse kidney, Rat brain |
| Immunogen: | Recombinant fusion protein containing a sequence corresponding to amino acids 752-1101 of human ACLY (NP_001087.2). |
| Purification Method: | Affinity purification |
| Storage Buffer: | Store at -20'C. Avoid freeze / thaw cycles. Buffer: PBS with 0.02% sodium azide, 50% glycerol, pH7.3. |
| Isotype: | IgG |
| Sequence: | FSSE VQFG HAGA CANQ ASET AVAK NQAL KEAG VFVP RSFD ELGE IIQS VYED LVAN GVIV PAQE VPPP TVPM DYSW AREL GLIR KPAS FMTS ICDE RGQE LIYA GMPI TEVF KEEM GIGG VLGL LWFQ KRLP KYSC QFIE MCLM VTAD HGPA VSGA HNTI ICAR AGKD LVSS LTSG LLTI GDRF GGAL DAAA KMFS KAFD SGII PMEF VNKM KKEG KLIM GIGH RVKS INNP DMRV QILK DYVR QHFP ATPL LDYA LEVE KITT SKKP NLIL NVDG LIGV AFVD MLRN CGSF TREE ADEY IDIG ALNG IFVL GRSM GFIG HYLD QKRL KQGL YRHP WDDI SYVL PEHM SM |
| Gene ID: | 47 |
| Uniprot: | P53396 |
| Cellular Location: | Cytoplasm |
| Calculated MW: | 91kDa/119kDa/120kDa |
| Observed MW: | 120kDa |
| Synonyms: | ACLY, ACL, ATPCL, CLATP |
| Background: | ATP citrate lyase is the primary enzyme responsible for the synthesis of cytosolic acetyl-CoA in many tissues. The enzyme is a tetramer (relative molecular weight approximately 440, 000) of apparently identical subunits. It catalyzes the formation of acetyl-CoA and oxaloacetate from citrate and CoA with a concomitant hydrolysis of ATP to ADP and phosphate. The product, acetyl-CoA, serves several important biosynthetic pathways, including lipogenesis and cholesterogenesis. In nervous tissue, ATP citrate-lyase may be involved in the biosynthesis of acetylcholine. Multiple transcript variants encoding distinct isoforms have been identified for this gene. |
| UniProt Protein Function: | ACLY: ATP citrate-lyase is the primary enzyme responsible for the synthesis of cytosolic acetyl-CoA in many tissues. Has a central role in de novo lipid synthesis. In nervous tissue it may be involved in the biosynthesis of acetylcholine. Homotetramer. 2 isoforms of the human protein are produced by alternative splicing. |
| UniProt Protein Details: | Protein type:EC 2.3.3.8; Transferase; Lyase; Carbohydrate Metabolism - citrate (TCA) cycle Chromosomal Location of Human Ortholog: 17q21.2 Cellular Component: cytoplasm; cytosol; membrane; mitochondrion; nucleoplasm; plasma membrane Molecular Function:ATP binding; ATP citrate synthase activity; cofactor binding; metal ion binding; protein binding Biological Process: acetyl-CoA biosynthetic process; cellular lipid metabolic process; cholesterol biosynthetic process; citrate metabolic process; energy reserve metabolic process; fatty acid biosynthetic process; lipid biosynthetic process; oxaloacetate metabolic process; positive regulation of cellular metabolic process; triacylglycerol biosynthetic process |
| NCBI Summary: | ATP citrate lyase is the primary enzyme responsible for the synthesis of cytosolic acetyl-CoA in many tissues. The enzyme is a tetramer (relative molecular weight approximately 440,000) of apparently identical subunits. It catalyzes the formation of acetyl-CoA and oxaloacetate from citrate and CoA with a concomitant hydrolysis of ATP to ADP and phosphate. The product, acetyl-CoA, serves several important biosynthetic pathways, including lipogenesis and cholesterogenesis. In nervous tissue, ATP citrate-lyase may be involved in the biosynthesis of acetylcholine. Multiple transcript variants encoding distinct isoforms have been identified for this gene. [provided by RefSeq, Dec 2014] |
| UniProt Code: | P53396 |
| NCBI GenInfo Identifier: | 116241237 |
| NCBI Gene ID: | 47 |
| NCBI Accession: | P53396.3 |
| UniProt Secondary Accession: | P53396,Q13037, Q9BRL0, B4DIM0, B4E3P0, |
| UniProt Related Accession: | P53396 |
| Molecular Weight: | 91,099 Da |
| NCBI Full Name: | ATP-citrate synthase |
| NCBI Synonym Full Names: | ATP citrate lyase |
| NCBI Official Symbol: | ACLY |
| NCBI Official Synonym Symbols: | ACL; ATPCL; CLATP |
| NCBI Protein Information: | ATP-citrate synthase |
| UniProt Protein Name: | ATP-citrate synthase |
| UniProt Synonym Protein Names: | ATP-citrate (pro-S-)-lyase; ACL; Citrate cleavage enzyme |
| Protein Family: | ATP-citrate synthase |
| UniProt Gene Name: | ACLY |
| UniProt Entry Name: | ACLY_HUMAN |
View AllClose
Additional Information
Product Type: |
Antibody |
Reactivity: |
Human |
Reactivity: |
Mouse |
Reactivity: |
Rat |
Host Species: |
Rabbit |
Isotype: |
IgG |
Antibody Type: |
Polyclonal Antibody |
Research Area: |
Metabolism |
