Description
| Antibody Name: | SNX11 Antibody (PACO17136) |
| Antibody SKU: | PACO17136 |
| Size: | 50ul |
| Host Species: | Rabbit |
| Tested Applications: | ELISA, WB, IHC |
| Recommended Dilutions: | ELISA:1:1000-1:2000, WB:1:200-1:1000, IHC:1:25-1:100 |
| Species Reactivity: | Human, Mouse |
| Immunogen: | Fusion protein of human SNX11 |
| Form: | Liquid |
| Storage Buffer: | -20°C, pH7.4 PBS, 0.05% NaN3, 40% Glycerol |
| Purification Method: | Antigen affinity purification |
| Clonality: | Polyclonal |
| Isotype: | IgG |
| Conjugate: | Non-conjugated |
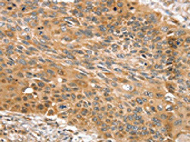
![]() | The image on the left is immunohistochemistry of paraffin-embedded Human esophagus cancer tissue using PACO17136(SNX11 Antibody) at dilution 1/30, on the right is treated with fusion protein. (Original magnification: x200). |
![]() | Gel: 8%SDS-PAGE, Lysate: 40 μg, Lane: Human normal liver tissue, Primary antibody: PACO17136(SNX11 Antibody) at dilution 1/300, Secondary antibody: Goat anti rabbit IgG at 1/8000 dilution, Exposure time: 5 minutes. |
![]() | The image on the left is immunohistochemistry of paraffin-embedded Human liver cancer tissue using PACO17136(SNX11 Antibody) at dilution 1/30, on the right is treated with fusion protein. (Original magnification: x200). |
| Background: | This gene encodes a member of the sorting nexin family. Members of this family contain a phox (PX) domain, which is a phosphoinositide binding domain, and are involved in intracellular trafficking. This protein does not contain a coiled coil region, like some family members. This gene encodes a protein of unknown function. This gene results in two transcript variants differing in the 5' UTR, but encoding the same protein. |
| Synonyms: | sorting nexin 11 |
| UniProt Protein Function: | SNX11: May be involved in several stages of intracellular trafficking. Belongs to the sorting nexin family.Protein type: Lipid-bindingChromosomal Location of Human Ortholog: 17q21.32Cellular Component: endosome; extrinsic to membraneMolecular Function: protein bindingBiological Process: endocytosis; vesicle organization and biogenesis |
| UniProt Protein Details: | |
| NCBI Summary: | This gene encodes a member of the sorting nexin family. Members of this family contain a phox (PX) domain, which is a phosphoinositide binding domain, and are involved in intracellular trafficking. This protein does not contain a coiled coil region, like some family members. This gene encodes a protein of unknown function. This gene results in two transcript variants differing in the 5' UTR, but encoding the same protein. [provided by RefSeq, Jul 2008] |
| UniProt Code: | Q9Y5W9 |
| NCBI GenInfo Identifier: | 14916716 |
| NCBI Gene ID: | 29916 |
| NCBI Accession: | Q9Y5W9.2 |
| UniProt Secondary Accession: | Q9Y5W9,Q53YC0, Q9H885, B3KRL6, B4DPY5, D3DTV0 |
| UniProt Related Accession: | Q9Y5W9 |
| Molecular Weight: | 29,423 Da |
| NCBI Full Name: | Sorting nexin-11 |
| NCBI Synonym Full Names: | sorting nexin 11 |
| NCBI Official Symbol: | SNX11 |
| NCBI Official Synonym Symbols: | |
| NCBI Protein Information: | sorting nexin-11 |
| UniProt Protein Name: | Sorting nexin-11 |
| UniProt Synonym Protein Names: | |
| Protein Family: | Sorting nexin |
| UniProt Gene Name: | SNX11 |
| UniProt Entry Name: | SNX11_HUMAN |
Additional Information
Product Type: |
Antibody |
Reactivity: |
Human |
Reactivity: |
Mouse |
Host Species: |
Rabbit |
Isotype: |
IgG |
Applications: |
ELISA |
Applications: |
WB |
Applications: |
IHC |
Antibody Type: |
Polyclonal Antibody |
Conjugation: |
Unconjugated |


