Description
| Antibody Name: | SCAP Antibody (PACO17051) |
| Antibody SKU: | PACO17051 |
| Size: | 50ul |
| Host Species: | Rabbit |
| Tested Applications: | ELISA, IHC |
| Recommended Dilutions: | ELISA:1:2000-1:5000, IHC:1:25-1:100 |
| Species Reactivity: | Human, Mouse, Rat |
| Immunogen: | Fusion protein of human SCAP |
| Form: | Liquid |
| Storage Buffer: | -20°C, pH7.4 PBS, 0.05% NaN3, 40% Glycerol |
| Purification Method: | Antigen affinity purification |
| Clonality: | Polyclonal |
| Isotype: | IgG |
| Conjugate: | Non-conjugated |
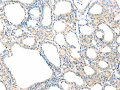
![]() | The image on the left is immunohistochemistry of paraffin-embedded Human thyroid cancer tissue using PACO17051(SCAP Antibody) at dilution 1/20, on the right is treated with fusion protein. (Original magnification: x200). |
![]() | The image on the left is immunohistochemistry of paraffin-embedded Human esophagus cancer tissue using PACO17051(SCAP Antibody) at dilution 1/20, on the right is treated with fusion protein. (Original magnification: x200). |
| Background: | This gene encodes a protein with a sterol sensing domain (SSD) and seven WD domains. In the presence of cholesterol, this protein binds to sterol regulatory element binding proteins (SREBPs) and mediates their transport from the ER to the Golgi. The SREBPs are then proteolytically cleaved and regulate sterol biosynthesis. |
| Synonyms: | SREBF chaperone |
| UniProt Protein Function: | SCAP: Escort protein required for cholesterol as well as lipid homeostasis. Regulates export of the SCAP/SREBF complex from the ER upon low cholesterol. Formation of a ternary complex with INSIG at high sterol concentrations leads to masking of an ER-export signal in SCAP and retention of the complex in the ER. Low sterol concentrations trigger release of INSIG, a conformational change in the SSC domain of SCAP, unmasking of the ER export signal, recruitment into COPII-coated vesicles, transport to the Golgi complex, proteolytic cleavage of SREBF in the Golgi, release of the transcription factor fragment of SREBF from the membrane, its import into the nucleus and up-regulation of LDLR, INSIG1 and the mevalonate pathway. Belongs to the WD repeat SCAP family. 4 isoforms of the human protein are produced by alternative splicing.Protein type: Membrane protein, multi-pass; Membrane protein, integralChromosomal Location of Human Ortholog: 3p21.31Cellular Component: Golgi membrane; Golgi apparatus; endoplasmic reticulum membrane; protein complex; endoplasmic reticulum; integral to membraneMolecular Function: protein binding; unfolded protein binding; cholesterol binding; protein complex bindingBiological Process: cholesterol metabolic process; regulation of fatty acid biosynthetic process; response to hypoxia; positive regulation of low-density lipoprotein receptor biosynthetic process; SREBP-mediated signaling pathway; negative regulation of cholesterol biosynthetic process; response to insulin stimulus; aging |
| UniProt Protein Details: | |
| NCBI Summary: | This gene encodes a protein with a sterol sensing domain (SSD) and seven WD domains. In the presence of cholesterol, this protein binds to sterol regulatory element binding proteins (SREBPs) and mediates their transport from the ER to the Golgi. The SREBPs are then proteolytically cleaved and regulate sterol biosynthesis. [provided by RefSeq, Jul 2008] |
| UniProt Code: | Q12770 |
| NCBI GenInfo Identifier: | 66932902 |
| NCBI Gene ID: | 22937 |
| NCBI Accession: | NP_036367.2 |
| UniProt Secondary Accession: | Q12770,Q8N2E0, Q8WUA1 |
| UniProt Related Accession: | Q12770 |
| Molecular Weight: | 95,616 Da |
| NCBI Full Name: | sterol regulatory element-binding protein cleavage-activating protein |
| NCBI Synonym Full Names: | SREBF chaperone |
| NCBI Official Symbol: | SCAP |
| NCBI Official Synonym Symbols: | |
| NCBI Protein Information: | sterol regulatory element-binding protein cleavage-activating protein; SREBP cleavage-activating protein; sterol regulatory element binding protein cleavage-activating protein |
| UniProt Protein Name: | Sterol regulatory element-binding protein cleavage-activating protein |
| UniProt Synonym Protein Names: | |
| Protein Family: | Sterol regulatory element-binding protein cleavage-activating protein |
| UniProt Gene Name: | SCAP |
| UniProt Entry Name: | SCAP_HUMAN |
| Antibodies |
| SCAP Antibody (PACO12040) |
| Secondary Antibody |
| Anti-HRP Goat Anti-Rabbit IgG (H+L) Antibody (CABS014) |
| Recommended Products |
| Anti-FITC Goat Anti-Rabbit IgG (H+L) Antibody (CABS011) |
| Anti-HRP-conjugated Beta Actin Antibody (CABC028) |
Additional Information
Product Type: |
Antibody |
Reactivity: |
Human |
Reactivity: |
Mouse |
Reactivity: |
Rat |
Host Species: |
Rabbit |
Isotype: |
IgG |
Applications: |
ELISA |
Applications: |
IHC |
Antibody Type: |
Polyclonal Antibody |
Conjugation: |
Unconjugated |

