Description
| Antibody Name: | EPS8L3 Antibody (PACO56042) |
| Antibody SKU: | PACO56042 |
| Size: | 50ug |
| Host Species: | Rabbit |
| Tested Applications: | ELISA, IHC |
| Recommended Dilutions: | ELISA:1:2000-1:10000, IHC:1:500-1:1000 |
| Species Reactivity: | Human |
| Immunogen: | Recombinant Human Epidermal growth factor receptor kinase substrate 8-like protein 3 protein (367-521AA) |
| Form: | Liquid |
| Storage Buffer: | Preservative: 0.03% Proclin 300 Constituents: 50% Glycerol, 0.01M PBS, pH 7.4 |
| Purification Method: | >95%, Protein G purified |
| Clonality: | Polyclonal |
| Isotype: | IgG |
| Conjugate: | Non-conjugated |
![]() | IHC image of PACO56042 diluted at 1:500 and staining in paraffin-embedded human ovarian cancer performed on a Leica BondTM system. After dewaxing and hydration, antigen retrieval was mediated by high pressure in a citrate buffer (pH 6.0). Section was blocked with 10% normal goat serum 30min at RT. Then primary antibody (1% BSA) was incubated at 4°C overnight. The primary is detected by a biotinylated secondary antibody and visualized using an HRP conjugated SP system. |
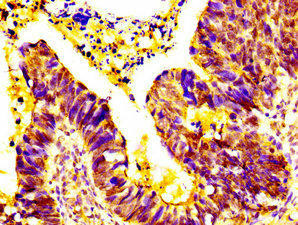
![]() | IHC image of PACO56042 diluted at 1:500 and staining in paraffin-embedded human small intestine tissue performed on a Leica BondTM system. After dewaxing and hydration, antigen retrieval was mediated by high pressure in a citrate buffer (pH 6.0). Section was blocked with 10% normal goat serum 30min at RT. Then primary antibody (1% BSA) was incubated at 4°C overnight. The primary is detected by a biotinylated secondary antibody and visualized using an HRP conjugated SP system. |
| Synonyms: | Epidermal growth factor receptor kinase substrate 8-like protein 3 (EPS8-like protein 3) (Epidermal growth factor receptor pathway substrate 8-related protein 3) (EPS8-related protein 3), EPS8L3, EPS8R3 |
| UniProt Protein Function: | EPS8L3: a protein that is related to epidermal growth factor receptor pathway substrate 8 (EPS8), a substrate for the epidermal growth factor receptor. The function of this protein is unknown. Alternatively spliced transcript variants encoding different isoforms exist. [provided by RefSeq, Jul 2008]Protein type: Unknown functionChromosomal Location of Human Ortholog: 1p13.3 |
| UniProt Protein Details: | |
| NCBI Summary: | This gene encodes a protein that is related to epidermal growth factor receptor pathway substrate 8 (EPS8), a substrate for the epidermal growth factor receptor. The function of this protein is unknown. Alternatively spliced transcript variants encoding different isoforms exist. [provided by RefSeq, Jul 2008] |
| UniProt Code: | Q8TE67 |
| NCBI GenInfo Identifier: | 108864727 |
| NCBI Gene ID: | 79574 |
| NCBI Accession: | Q8TE67.2 |
| UniProt Secondary Accession: | Q8TE67,Q5T8Q6, Q5T8Q7, Q5T8Q8, Q96E47, Q9H719, A8K833 |
| UniProt Related Accession: | Q8TE67 |
| Molecular Weight: | 66,948 Da |
| NCBI Full Name: | Epidermal growth factor receptor kinase substrate 8-like protein 3 |
| NCBI Synonym Full Names: | EPS8 like 3 |
| NCBI Official Symbol: | EPS8L3 |
| NCBI Official Synonym Symbols: | EPS8R3 |
| NCBI Protein Information: | epidermal growth factor receptor kinase substrate 8-like protein 3 |
| UniProt Protein Name: | Epidermal growth factor receptor kinase substrate 8-like protein 3 |
| UniProt Synonym Protein Names: | Epidermal growth factor receptor pathway substrate 8-related protein 3; EPS8-related protein 3 |
| Protein Family: | Epidermal growth factor receptor kinase substrate 8-like protein |
| UniProt Gene Name: | EPS8L3 |
| UniProt Entry Name: | ES8L3_HUMAN |
| Antibodies |
| EPS8L3 Antibody (PACO05363) |
| Secondary Antibody |
| Anti-HRP Goat Anti-Rabbit IgG (H+L) Antibody (CABS014) |
| Recommended Products |
| Anti-FITC Goat Anti-Rabbit IgG (H+L) Antibody (CABS011) |
| Anti-HRP-conjugated Beta Actin Antibody (CABC028) |
Additional Information
Product Type: |
Antibody |
Reactivity: |
Human |
Host Species: |
Rabbit |
Isotype: |
IgG |
Applications: |
ELISA |
Applications: |
IHC |
Antibody Type: |
Polyclonal Antibody |
Conjugation: |
Unconjugated |

