Description
| Antibody Name: | AXIN1 Antibody (PACO20994) |
| Antibody SKU: | PACO20994 |
| Size: | 50ul |
| Host Species: | Rabbit |
| Tested Applications: | ELISA, IHC |
| Recommended Dilutions: | ELISA:1:2000-1:5000, IHC:1:25-1:100 |
| Species Reactivity: | Human, Mouse, Rat |
| Immunogen: | Synthetic peptide of human AXIN1 |
| Form: | Liquid |
| Storage Buffer: | -20°C, pH7.4 PBS, 0.05% NaN3, 40% Glycerol |
| Purification Method: | Antigen affinity purification |
| Clonality: | Polyclonal |
| Isotype: | IgG |
| Conjugate: | Non-conjugated |
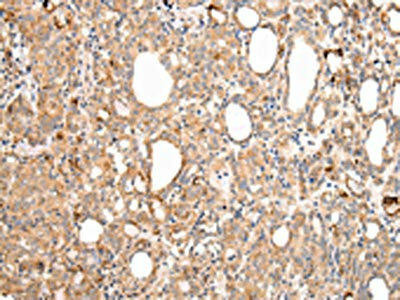
![]() | The image on the left is immunohistochemistry of paraffin-embedded Human thyroid cancer tissue using PACO20994(AXIN1 Antibody) at dilution 1/30, on the right is treated with synthetic peptide. (Original magnification: x200). |
| Background: | This gene encodes a cytoplasmic protein which contains a regulation of G-protein signaling (RGS) domain and a dishevelled and axin (DIX) domain. The encoded protein interacts with adenomatosis polyposis coli, catenin beta-1, glycogen synthase kinase 3 beta, protein phosphate 2, and itself. This protein functions as a negative regulator of the wingless-type MMTV integration site family, member 1 (WNT) signaling pathway and can induce apoptosis. The crystal structure of a portion of this protein, alone and in a complex with other proteins, has been resolved. Mutations in this gene have been associated with hepatocellular carcinoma, hepatoblastomas, ovarian endometriod adenocarcinomas, and medullablastomas. Two transcript variants encoding distinct isoforms have been identified for this gene. |
| Synonyms: | axin 1 |
| UniProt Protein Function: | axin 1: is a negative regulator of the Wnt pathway, which is critical in stem cell signaling, morphogenesis, the mesenchymal-epithelial transition, and many cancers. Axin-1 functions as a tumor suppressor. Probably facilitates the phosphorylation of beta-catenin and APC by GSK3B, leading to their ubiquitination and subsequent proteolysis. Wild-type axin 1 can induce apoptosis in hepatocellular and colorectal cancer cells. Is downregulated during progression of esophageal squamous cell carcinoma. Mutation of the axin-1 gene is associated with hepatocellular carcinoma, anaplastic thyroid cancer, medulloblastoma and colorectal cancer. May have a role in oncogenesis in Hodgkin lymphoma. Axin1/2 mediate cross-talk between TGF-beta and Wnt signaling pathways. |
| UniProt Protein Details: | Protein type:Tumor suppressor; Adaptor/scaffold Chromosomal Location of Human Ortholog: 16p13.3 Cellular Component: Golgi apparatus; perinuclear region of cytoplasm; cytoplasmic microtubule; cytoplasmic membrane-bound vesicle; postsynaptic density; cytoplasm; cell cortex; cytoplasmic vesicle; cytosol; beta-catenin destruction complex; nucleus; lateral plasma membrane Molecular Function:protein C-terminus binding; identical protein binding; protein homodimerization activity; protein self-association; p53 binding; beta-catenin binding; protein kinase binding; GTPase activator activity; signal transducer activity; protein binding; receptor signaling complex scaffold activity; enzyme binding; ubiquitin protein ligase binding; protein complex scaffold; SMAD binding; receptor binding Biological Process: cell death; protein polyubiquitination; negative regulation of Wnt receptor signaling pathway; apoptosis; embryonic eye morphogenesis; positive regulation of transcription, DNA-dependent; positive regulation of JNK cascade; negative regulation of protein metabolic process; dorsal/ventral axis specification; nucleocytoplasmic transport; Wnt receptor signaling pathway through beta-catenin; olfactory placode formation; activation of JNK activity; cytoplasmic microtubule organization and biogenesis; sensory perception of sound; positive regulation of ubiquitin-protein ligase activity; Wnt receptor signaling pathway involved in forebrain neuron fate commitment; protein catabolic process; protein homooligomerization; axial mesoderm formation; in utero embryonic development; positive regulation of transforming growth factor beta receptor signaling pathway; muscle cell development; negative regulation of fat cell differentiation; optic placode formation; positive regulation of peptidyl-serine phosphorylation; cellular protein complex assembly; positive regulation of protein ubiquitination; positive regulation of proteasomal ubiquitin-dependent protein catabolic process; forebrain anterior/posterior pattern formation; activation of protein kinase activity; positive regulation of protein catabolic process; positive regulation of protein amino acid phosphorylation; determination of left/right symmetry; positive regulation of GTPase activity Disease: Caudal Duplication Anomaly; Hepatocellular Carcinoma |
| UniProt Code: | O15169 |
| NCBI GenInfo Identifier: | 27501450 |
| NCBI Gene ID: | 8312 |
| NCBI Accession: | NP_003493.1 |
| UniProt Secondary Accession: | O15169,Q4TT26, Q4TT27, Q86YA7, Q8WVW6, Q96S28, |
| UniProt Related Accession: | O15169 |
| Molecular Weight: | 862 |
| NCBI Full Name: | axin-1 isoform a |
| NCBI Synonym Full Names: | axin 1 |
| NCBI Official Symbol: | AXIN1 |
| NCBI Official Synonym Symbols: | AXIN; PPP1R49 |
| NCBI Protein Information: | axin-1; axis inhibitor 1; fused, mouse, homolog of; axis inhibition protein 1; protein phosphatase 1, regulatory subunit 49 |
| UniProt Protein Name: | Axin-1 |
| UniProt Synonym Protein Names: | Axis inhibition protein 1 |
| Protein Family: | Axin |
| UniProt Gene Name: | AXIN1 |
| UniProt Entry Name: | AXIN1_HUMAN |
Additional Information
Product Type: |
Antibody |
Reactivity: |
Human |
Reactivity: |
Mouse |
Reactivity: |
Rat |
Host Species: |
Rabbit |
Isotype: |
IgG |
Applications: |
ELISA |
Applications: |
IHC |
Antibody Type: |
Polyclonal Antibody |
Conjugation: |
Unconjugated |
