Frequently bought together:
Description
| Antibody Name: | Anti-MT-CO3 Antibody |
| Antibody SKU: | CAB18318 |
| Antibody Size: | 20uL, 50uL, 100uL |
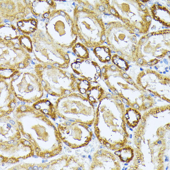
| Application: | WB IHC IF |
| Reactivity: | Human, Mouse, Rat |
| Host Species: | Rabbit |
| Immunogen: | Recombinant protein of human MT-CO3. |
| Application: | WB IHC IF |
| Recommended Dilution: | WB 1:500 - 1:2000 IHC 1:50 - 1:200 IF 1:50 - 1:200 |
| Reactivity: | Human, Mouse, Rat |
| Positive Samples: |
| Immunogen: | Recombinant protein of human MT-CO3. |
| Purification Method: | Affinity purification |
| Storage Buffer: | Store at -20°C. Avoid freeze / thaw cycles. Buffer: PBS with 0.02% sodium azide, 50% glycerol, pH7.3. |
| Isotype: | IgG |
| Sequence: | Email for sequence |
| Gene ID: | 4514 |
| Uniprot: | P00414 |
| Cellular Location: | |
| Calculated MW: | 30kDa |
| Observed MW: | Refer to figures |
| Synonyms: | COIII, MTCO3, COX3, MT-CO3 |
| Background: |
| UniProt Protein Function: | COX3: Subunits I, II and III form the functional core of the enzyme complex. Defects in MT-CO3 are a cause of Leber hereditary optic neuropathy (LHON). LHON is a maternally inherited disease resulting in acute or subacute loss of central vision, due to optic nerve dysfunction. Cardiac conduction defects and neurological defects have also been described in some patients. LHON results from primary mitochondrial DNA mutations affecting the respiratory chain complexes. Defects in MT-CO3 are a cause of mitochondrial complex IV deficiency (MT-C4D); also known as cytochrome c oxidase deficiency. A disorder of the mitochondrial respiratory chain with heterogeneous clinical manifestations, ranging from isolated myopathy to severe multisystem disease affecting several tissues and organs. Features include hypertrophic cardiomyopathy, hepatomegaly and liver dysfunction, hypotonia, muscle weakness, excercise intolerance, developmental delay, delayed motor development and mental retardation. A subset of patients manifest Leigh syndrome. Defects in MT-CO3 are associated with recurrent myoglobinuria mitochondrial (RM-MT). Recurrent myoglobinuria is characterized by recurrent attacks of rhabdomyolysis (necrosis or disintegration of skeletal muscle) associated with muscle pain and weakness, and followed by excretion of myoglobin in the urine. Belongs to the cytochrome c oxidase subunit 3 family. |
| UniProt Protein Details: | Protein type:Oxidoreductase; Membrane protein, integral; Mitochondrial; Membrane protein, multi-pass Chromosomal Location of Human Ortholog: - Disease: Leber Optic Atrophy; Mitochondrial Myopathy, Encephalopathy, Lactic Acidosis, And Stroke-like Episodes |
| UniProt Code: | P00414 |
| NCBI GenInfo Identifier: | 6648058 |
| NCBI Gene ID: | 4514 |
| NCBI Accession: | P00414.2 |
| UniProt Secondary Accession: | P00414,Q14Y83, |
| Molecular Weight: | 29,951 Da |
| NCBI Full Name: | Cytochrome c oxidase subunit 3 |
| NCBI Synonym Full Names: | mitochondrially encoded cytochrome c oxidase III |
| NCBI Official Symbol: | MT-CO3 |
| NCBI Official Synonym Symbols: | COIII; MTCO3; COX3 |
| NCBI Protein Information: | cytochrome c oxidase III |
| UniProt Protein Name: | Cytochrome c oxidase subunit 3 |
| UniProt Synonym Protein Names: | Cytochrome c oxidase polypeptide III |
| UniProt Gene Name: | MT-CO3 |
| UniProt Entry Name: | COX3_HUMAN |
Additional Information
Product Type: |
Antibody |
Reactivity: |
Human |
Reactivity: |
Mouse |
Reactivity: |
Rat |
Host Species: |
Rabbit |
Isotype: |
IgG |
Research Area: |
Cell Biology |
