Description
| Antibody Name: | Anti-Calcineurin A Antibody |
| Antibody SKU: | CAB4346 |
| Antibody Size: | 20uL, 50uL, 100uL |
| Application: | WB |
| Reactivity: | Human, Mouse, Rat |
| Host Species: | Rabbit |
| Immunogen: | A synthesized peptide derived from human Calcineurin A |
| Application: | WB |
| Recommended Dilution: | WB 1:500 - 1:2000 |
| Reactivity: | Human, Mouse, Rat |
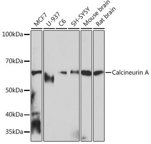
| Positive Samples: | MCF7, U-937, C6, SH-SY5Y, Mouse brain, Rat brain |
| Immunogen: | A synthesized peptide derived from human Calcineurin A |
| Purification Method: | Affinity purification |
| Storage Buffer: | Store at -20'C. Avoid freeze / thaw cycles. Buffer: PBS with 0.02% sodium azide, 0.05% BSA, 50% glycerol, pH7.3. |
| Isotype: | IgG |
| Sequence: | Email for sequence |
| Gene ID: | 5530 |
| Uniprot: | Q08209 |
| Cellular Location: | |
| Calculated MW: | 59kDa |
| Observed MW: | 59KDa |
| Synonyms: | CALN, CALNA, CALNA1, CCN1, CNA1, PPP2B |
| Background: |
| UniProt Protein Function: | PPP3CA: a calmodulin-dependent Ser/Thr phosphatase also known calcineurin A alpha. Involved in a wide range of biologic activities, acting as a Ca(2 )-dependent modifier of phosphorylation status. Dephosphorylates HSPB1. The calcineurin holoenzyme is composed of catalytic and regulatory subunits of 60 and 18 kD, respectively.. |
| UniProt Protein Details: | Protein type:Protein phosphatase, Ser/Thr (non-receptor); EC 3.1.3.16 Chromosomal Location of Human Ortholog: 4q24 Cellular Component: nucleoplasm; mitochondrion; cytoplasm; Z disc; cytosol; calcineurin complex; sarcolemma Molecular Function:calmodulin binding; protein dimerization activity; protein binding; enzyme binding; calmodulin-dependent protein phosphatase activity; protein heterodimerization activity; protein serine/threonine phosphatase activity; drug binding; calcium ion binding Biological Process: regulation of synaptic transmission; positive regulation of NFAT protein import into nucleus; T cell activation; response to amphetamine; skeletal muscle fiber development; protein amino acid dephosphorylation; negative regulation of insulin secretion; calcineurin-NFAT signaling pathway; transition between fast and slow fiber; dephosphorylation; protein import into nucleus; calcium ion transport; innate immune response; positive regulation of transcription from RNA polymerase II promoter; response to calcium ion; regulation of excitatory postsynaptic membrane potential; multicellular organismal response to stress; G1/S transition of mitotic cell cycle |
| UniProt Code: | Q08209 |
| NCBI GenInfo Identifier: | 1352673 |
| NCBI Gene ID: | 5530 |
| NCBI Accession: | Q08209.1 |
| UniProt Related Accession: | Q08209 |
| Molecular Weight: | 59kDa |
| NCBI Full Name: | Serine/threonine-protein phosphatase 2B catalytic subunit alpha isoform |
| NCBI Synonym Full Names: | protein phosphatase 3 catalytic subunit alpha |
| NCBI Official Symbol: | PPP3CA |
| NCBI Official Synonym Symbols: | CALN; CCN1; CNA1; CALNA; IECEE; PPP2B; ACCIID; CALNA1; IECEE1 |
| NCBI Protein Information: | serine/threonine-protein phosphatase 2B catalytic subunit alpha isoform |
| UniProt Protein Name: | Serine/threonine-protein phosphatase 2B catalytic subunit alpha isoform |
| UniProt Synonym Protein Names: | CAM-PRP catalytic subunit; Calmodulin-dependent calcineurin A subunit alpha isoform |
| UniProt Gene Name: | PPP3CA |
| UniProt Entry Name: | PP2BA_HUMAN |
Additional Information
Product Type: |
Antibody |
Reactivity: |
Human |
Reactivity: |
Mouse |
Reactivity: |
Rat |
Host Species: |
Rabbit |
Isotype: |
IgG |
Research Area: |
Cell Biology |
